Die häufigste Arthrose (Gelenkverschleiß) an der Hand ist die Daumensattelgelenksarthrose (Rhizarthrose). Gerade ältere Patienten leiden oft unter ihr, Frauen etwas häufiger als Männer. Die Erkrankung zeichnet sich durch einen stechenden Schmerz über dem Daumen aus, der bewegungsabhängig auftritt, vor allem bei Drehbewegungen wie dem Öffnen einer Flasche oder eines Marmeladenglases. Der Schmerz entsteht dadurch, dass die Knorpel abgenutzt sind, die die einzelnen Gelenkteile verbinden, was dazu führt, dass die Knochen direkt aufeinander reiben. Dies kann auch zur Schwellung des Daumens, der Bildung von Knochenwülsten mit Verformung des Daumens sowie dem Ablösen einzelner Knochenteile führen. Die Rhizarthrose tritt altersabhängig auf, Ihre Ursache liegt v.a. in der jahrelangen Überbeanspruchung des Gelenks. Daneben kann eine Arthrose des Daumensattelgelenks aber auch die Folge eines Unfalls sein. Operationsverlauf bei der Behandlung der Daumensattelgelenksarthrose.
Weitere Informationen zur Daumensattelgelenksarthrose von Dr. Handschin in seinem Blog.

Schmerzausstrahlung bei Daumensattelgelenkarthrose (Rhizarthrose).

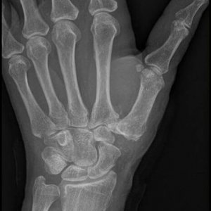
Präoperativ: Deutliche Arthrosezeichen am Gelenkspalt zwischen dem Handwurzelknochen (T) und dem Daumen (Pfeil)

Postoperativ: Das Vieleckbein wurde entfernt, somit verbesserte Beweglichkeit am Daumen. Zusätzliche Sehnenaufhängung zur Stabilisierung des Daumens erfolgt.
Verbesserung der Daumensattelgelenksarthrose
In Abängigkeit der Beschwerden und des Röntgenbefundes kann durch eine Operation eine wesentliche Verbesserung der Daumensattelgelenksarthrose erzielt werden. Bei dem Eingriff in unserer Klinik in Hamburg wird unter allgemeiner oder regionaler Betäubung ein Teil des erkrankten Gelenks (das große Vieleckbein) durch kleinen Schnitt entfernt. Anschliessend wird der Daumen mit Hilfe einer körpereigenen Sehne wieder stabilisiert (Resektions-Suspensions-Arthroplastik). Die Knochen können dann nicht mehr aufeinander reiben.
In der Lücke zwischen dem ersten Mittelhandknochen und dem Kahnbein bildet sich im Laufe der Genesung Narbengewebe, durch das der Daumen beweglich bleibt. Die Schmerzen verschwinden oftmals gänzlich, werden jedoch zumindest deutlich reduziert. Durch den Einsatz minimal-invasiver Techniken werden lediglich kurze Narben verursacht.
Handschin A. Ergebnisse der Resektions-Suspensionsarthroplastik bei Daumensattelgelenksarthrose bei 175 Patienten mit Langzeit Follow-up . Jahrestagung Deutsche Gesellschaft für Handchirurgie, Garmisch, 6.10.2022
Rhizarthrose – künstlicher Gelenksersatz (Touch-Prothese)
Eine weitere Operationsmethode der Arthrose am Daumensattelgelenk besteht in Form eines künstlichen Gelenksersatz. Vergleichbar mit einem künstlichen Hüftgelenk kann auch das erkrankte Daumensattelgelenk unter Einsatz einer Duokopfprothese versorgt werden. Sie ersetzt das verschlissene Gelenk durch eine speziell entwickelte Prothese aus Metall und hochvernetztem Polyethylen, um so Schmerzen zu lindern, die Beweglichkeit und Kraft des Daumens wiederherzustellen und die Rehabilitationszeit zu verkürzen.
Der Vorteil dieser Methode ist, dass der Knochen erhalten bleibt, was eine oft weniger traumatische Operation als bei der herkömmlichen Methode ist, bei der der Knochen entfernt wird. Allerdings kann die Prothese nicht bei jedem Patienten eingesetzt werden, z.B. bei Vorliegen von weiteren Arthrosen im Handwurzelbereich oder einer unzureichenden Knochenqualität.

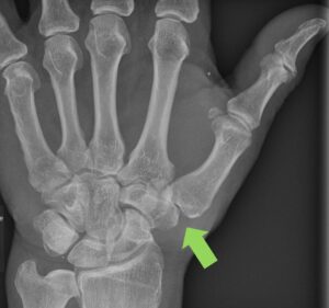
Rhizarthrose Daumensattelgelenk, der Mittelhandknochen des Daumens drückt auf den benachbarten Knochen der Handwurzel, der Gelenkspalt zwischen den Knochen ist deutlich vermindert bzw. aufgehoben.

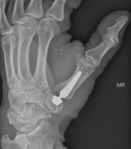
Postoperativ nach Einlage einer Touch-Prothese als Gelenkersatz. Das künstliche Gelenk ermöglicht nun die schmerzfreie Bewegung des Daumens in allen Achsen.

Nachsorge nach einer Operation der Daumensattelgelenksarthrose
Nach der Operation einer Daumensattelgelenksarthrose muss der Daumen etwa zwei Wochen ruhiggestellt werden, das Daumenendgelenk und das Handgelenk jedoch nicht. Entscheiden für einen Operationserfolg ist auch hier eine konsequente Beübung unter physiotherapeutischer Anleitung für mehrere Wochen.
Über mögliche Risiken der Operation der Daumensattelgelenksarthrose klären wir Sie in einem persönlichen Gespräch in unserer Klinik in Hamburg auf.





